Home - Mundo - Médicos descobrem pedras ‘gigantes’ na vagina de paciente

Médicos descobrem pedras ‘gigantes’ na vagina de paciente

02 de fevereiro de 2022

Médicos descobrem pedras ‘gigantes’ na vacina de pacientePedras vaginais retiradas de paciente na Indonésia – Foto: Reprodução/Urology Case Reports

Casos de pedras nos rins e na vesícula biliar são comuns. Porém, em raríssimas ocasiões, elas também podem se desenvolver na vagina.

Os médicos descreveram a descoberta de pedras "gigantes" na vagina de uma paciente, na Indonésia, que lutava para engravidar, sem sucesso.

Fotos chocantes publicadas na revista "Urology Case Reports" mostram as pedras do tamanho da palma da mão que foram removidas do seu corpo em cirurgia.

Os médicos disseram que as pedras vaginais podem ficar "silenciosas por muitos anos" à medida que se formam lentamente, permanecendo "não detectadas quando não há sintomas".

A jovem indonésia de 30 anos, que não foi identificada, foi levada ao atendimento médico quando disse que lutou contra a infertilidade após o casamento.

Outros sintomas relatados deixaram os médicos preocupados. A mulher tinha um problema na bexiga desde os 5 anos de idade, quando sofreu um acidente de trânsito que causou a ruptura do órgão. Seus períodos menstruais eram irregulares e dolorosos, mas ela nunca procurou tratamento para isso.

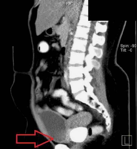
Um exame simples, porém, levantou sinais de que algo estava obstruindo a vagina. Exames de imagem a seguir mostraram duas pedras "sólidas e lisas" dentro da área pélvica.

Médicos descobrem pedras ‘gigantes’ na vacina de pacienteExame detecta pedras vaginais em paciente na Indonésia – Foto: Reprodução/Urology Case Reports

Medindo 3,6cm por 5cm e 5cm por 5,8cm, as pedras retiradas eram do tamanho de duas bolas de pingue-pongue. Uma estava presa à parede da bexiga, enquanto a outro estava presa à parede do reto.

Os médicos explicaram que as pedras vaginais podem se desenvolver quando a urina se acumula onde não deveria, como na vagina. No caso dessa mulher, isso provavelmente ocorreu porque ela apresentava uma abertura anormal entre a vagina e os dutos que transportam a urina dos rins para a bexiga, chamada de fístula ureterovaginal. Isso se deve aos ferimentos que ela sofreu quando criança, que também causaram danos nos órgãos reprodutivos que ela desconhecia, bloqueando parcialmente a abertura da sua vagina.

É provável que isso esteja por trás dos períodos menstruais irregulares, disse o relatório médico publicado na revista.

"A obstrução vaginal também causará problemas de qualidade sexual e infertilidade em uma mulher adulta", afirmaram os autores.

Valedoitaúnas (Extra)



banner
banner